Madrid
Varias localizaciones
Si hablamos de la mujer como paciente, las varices pélvicas son varices que aparecen en la región pélvica y que son más frecuentes tras varios embarazos. Lo más frecuente es que sean debidas a insuficiencia de las venas ováricas, que es el llamado síndrome de congestión pélvica primario. También hay casos secundarios a compresiones venosas de la vena iliaca común izquierda (Sindrome de May-Thurner) o de la vena renal izquierda (Síndrome de Nutcracker o cascanueces) o como secuela tras una trombosis previa.
Si nos centramos en el varón como paciente, las varices pélvicas son causa de varicocele. Generalmente se realiza una valoración conjunta entre el Cirujano Vascular y el Urólogo.
Lo más frecuente es que las varices pélvicas sean asintomáticas. Pero en algunas pacientes provocan pesadez en la región baja del abdomen o periné o incluso un dolor crónico pélvico que aumenta al estar de pie y a última hora del día. También puede empeorar unos días antes de la menstruación o durante la misma.
Puede asociar molestias o dolor con la micción y con las relaciones sexuales o tras el coito. Visualmente, en ocasiones puede causar varices en la región de la vulva, glúteos o en raíz de muslos. Además, también pueden causar síntomas de pesadez y varices en piernas (hasta el 15% de varices de las piernas tienen su origen en la pelvis).
Todos estos síntomas pueden empeorar mucho la calidad de vida de las pacientes y producir una discapacidad significativa.
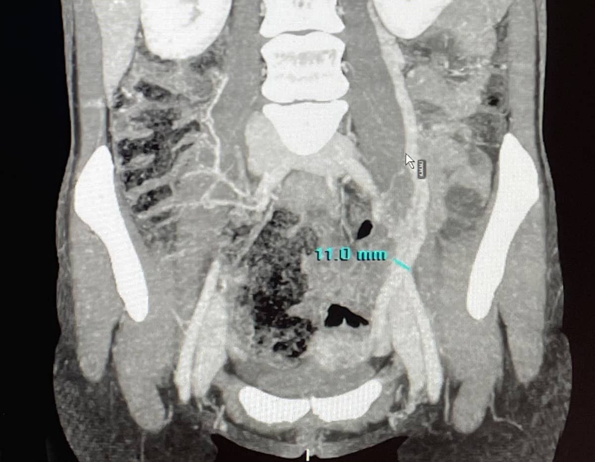
¿Cómo se diagnostican las varices pélvicas?
Como siempre es fundamental hablar con el paciente para que nos cuente sus síntomas. Realizamos también una exploración física para ver si existen varices en piernas o varices vulvares. Además, un examen ginecológico por parte del especialista también es fundamental para valorar otras causas de las molestias del paciente. A continuación, nuestra prueba de imagen inicial y fundamental es el eco-doppler abdominal o transvaginal y de miembros inferiores. Una vez confirmado o con una alta sospecha se puede completar el diagnóstico con un angioTc o una Resonancia Magnética para descartar otras causas y valorar la anatomía.
En último lugar, el diagnóstico de confirmación nos lo da la flebografía que generalmente se realiza en el mismo acto en que se tratan.
¿Cómo es el tratamiento?
El tratamiento para varices pélvicas dependerá de la causa que las haya generado. Realizaremos tratamiento cuando existan molestias crónicas importantes, no en todas las pacientes con varices pélvicas. Pueden mejorar los síntomas las terapias hormonales o con venotónicos pero el tratamiento definitivo de la causa primaria suele pasar por cerrar esas venas, embolizándolas.
Este tratamiento se realiza en quirófano a través de catéteres y guías guiado por Rayos X. El acceso generalmente es a través de venas del brazo. Es un procedimiento que, en la mayoría de casos, se realiza bajo anestesia local y sedación. Consiste en sellar o cerrar esas varices y la o las venas ováricas enfermas con distintos materiales. En los casos secundarios los tratamientos van a variar en función de la causa con estrategias tanto endovasculares como de cirugía abierta según cada caso.
¿Cómo es la vida tras su tratamiento?
La embolización pélvica es muy efectiva en eliminar los síntomas y mejora mucho la calidad de vida de las pacientes que sufren ese dolor pélvico. Existe un riesgo de recidiva con los años en torno a un 30%, sobre todo en mujeres que se quedan embarazadas tras el mismo. Aunque no existe contraindicación de quedarse embarazada tras este tratamiento de embolización, lo ideal es realizarlo una vez se ha cumplido el deseo genésico de la mujer.
La doctora Maday Cabrero te puede ayudar a solucionar este problema estético y de salud. Pide cita para buscar una solución personalizada
El tratamiento endovenoso de varices o tratamiento de varices mínimamente invasivo busca cerrar o anular de la circulación la vena enferma sin necesidad de quitarla
Durante el embarazo las piernas de la mujer pueden verse muy afectadas. Son varios los motivos por los que empeora el retorno venoso de las piernas. Pide cita con la doctora Maday Cabrero para mejorar tu problema.